틀어진 치아 배열을 바로잡는
조화로운 치아 구조
3D 프린터 투명교정

최신 3D 프린팅 기술로 제작되는 투명교정 장치는
치아 배열의 불균형을 정밀하게 교정하고,
골격과 조화를 이루는 균형 잡힌 치아 구조를 완성합니다.
단순히 가지런함을 만드는 것을 넘어, 기능적 안정성과
아름다운 미소까지 함께 찾아드립니다.

3D 프린터 투명교정이란?

3D 프린터 투명교정은 최신 디지털 기술을 활용해
개개인의 치아 상태를
정밀하게 분석하고
맞춤 제작되는 교정 장치입니다.

  • 환자 개개인의 치아 배열과 교합 상태를
    3D 스캔으로 정밀 분석
  • 디지털 시뮬레이션을 통한
    치아 이동 경로 계획
  • 환자의 구강 구조에 맞춘 맞춤 제작으로
    통증과 불편감 최소화

보이지않는 편안한 교정
3D 프린터 투명교정
진행과정

최신 3D 프린팅 기술로 제작되는 투명교정은
환자의 치아 상태를 정밀하게 분석해 맞춤 설계됩니다.
치아 이동 과정을 디지털 시뮬레이션으로 예측하여
보다 정확하고 체계적인 교정이 가능합니다.

01 채득한 치아 모형을 3D 스캐너로
스캔하여 컴퓨터로 전송
02 스캔한 데이터를 셋업 프로그램으로
디지털 가상 치아 이동
03 데이터상에서 정교하게 이동된
치아 위치를 3D 프린터로 전송
04 각 단계별 치아 모델을
3D 프린터로 출력
05 단계별 치아 모델을 이용하여
보다 정교한 투명교정장치 제작
06 정밀하게 제작된 투명교정장치를
일정에 맞추어 착용

아프고 힘든 교정?
웃는얼굴치과의 교정은 다릅니다

웃는얼굴치과의 투명교정은 투명한 재질의 장치로
티가 거의 나지 않아 심미적으로 매우 우수하며,
내원 횟수를 줄여 보다 편하게 치료 받으실 수 있습니다.

  • 교정장치가 보이지는 않나요? 티나지 않는 투명한 교정장치
  • 교정치료 중 아프지는 않나요? 통증을 줄여주는 2단계 장치
  • 자주 방문해야하나요? 3개월 간격으로 한번씩 방문

체계적인 교정치료를
약속드립니다
웃는얼굴치과의 특별함

환자 개개인의 치아 상태와 얼굴 균형을 정밀하게 분석하여,
맞춤형 교정 치료 계획을 수립합니다.
치료 과정 내내 환자의 편안함과 만족을 최우선으로 생각하며,
건강한 미소를 오래도록 지킬 수 있도록 최선을 다합니다.

3천건이 넘는 다양한
교정치료 결과 보유

다년간 축적된 풍부한 임상 경험으로
다양한 치아 구조와 교정 케이스에 대응 가능합니다.
환자 개개인에게 최적화된 치료 결과를 제공하며,
믿을 수 있는 성과를 자랑합니다.

검증된 정품 교정제품 사용 &
교정전담 치과위생사

안전성과 효과가 입증된 정품 교정장치를 사용하며,
전문 교육을 받은 교정 전담 치과위생사가 세심하게 관리합니다.
치료 과정 전반에서 높은 수준의 안전과 위생을 유지합니다.

환자별 1:1 맞춤 치료계획 &
분야별 의료진 협업

환자의 치아 상태와 얼굴 균형을 고려한
맞춤형 치료 계획을 수립합니다.
교정, 보철, 턱관절 등 각 분야 전문 의료진이
긴밀하게 협력하여 최상의 치료 결과를 도출합니다.

안전하고 확실한 교정
12단계
교정진단시스템

웃는얼굴치과의 12단계 교정진단시스템은 환자의 치아와 턱 구조,
얼굴 균형, 교합 상태 등을 체계적으로 분석하여
최적의 치료 계획을 수립하는 첨단 진단 프로세스입니다.

01 병력조사 및
맞춤형 1:1 설문
02 파노라마 촬영
03 세팔로 촬영
04 턱관절 검사
05 정면 X-ray 촬영
06 구강검진
07 모형 채득
08 교합 채득
09 구내 촬영
10 안모 촬영
11 V-ceph
12 분석 및 치료계획 수립

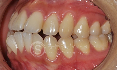
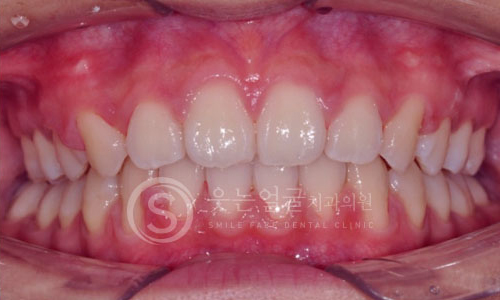
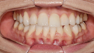
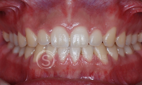
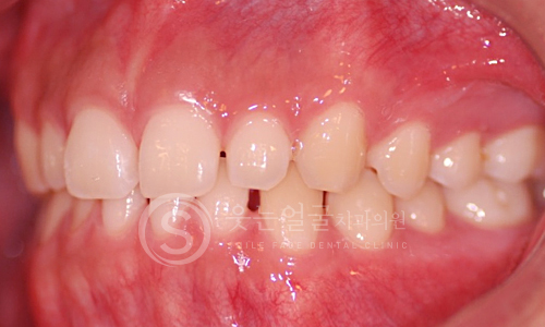
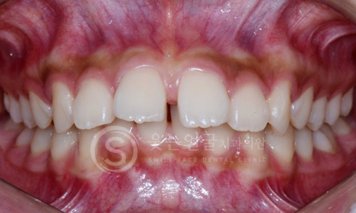
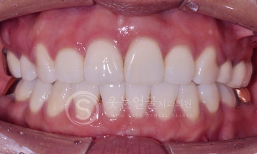
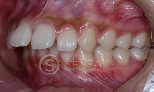
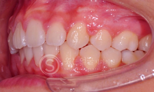
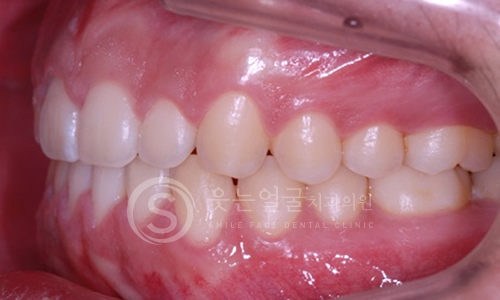
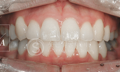
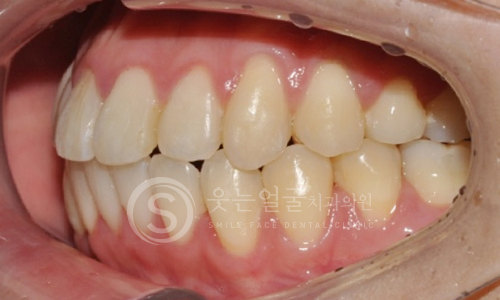
한눈에 보는
치아교정 전후사진

View more

REAL
REVIEW
웃는얼굴치과 리얼스토리

View more
빠른상담신청
[보기]
Contact
031-231-2879
월, 화, 목
AM 10:00 - PM 07:00
수, 금
AM 10:00 - PM 09:00 (야간진료)
점심시간
PM 01:00 - PM 02:00
토 요 일
AM 10:00 - PM 02:00

* 공휴일 및 일요일은 휴진입니다.

* 토요일은 점심시간 없이 진료힙니다.

Location

경기도 수원시 팔달구 권광로199
세영빌딩 5층 웃는얼굴치과

  • [ 지하철 ] 수원시청역 8번출구 방면,
    스타벅스 인계점 건물 5층
  • [ 버스 ] '중소기업은행' 하차
    맞은편 '뉴코아아울렛' 하차
주차안내
건물 내 지하 7층 대형주차장 완비
  • 주소 : 경기도 수원시 팔달구 권광로199 세영빌딩 5층 웃는얼굴치과
  • 대표 : 강혁권
  • 사업자등록증번호 : 365-19-00535
  • TEL : 031-231-2879
  • FAX : 031-231-2878
COPYRIGHT © SMILE FACE DENTAL. ALL RIGHTS RESERVED.